Klik op één van onderstaande blokken om een vraag in te zien.
Wat zijn de meest voorkomende gebitsafwijkingen?
1. Kruisbeet
Normaal gesproken is de boventandboog breder dan de ondertandboog waardoor de boventanden en -kiezen meer naar buiten staan dan de ondertanden en -kiezen.
Bij een kruisbeet vallen één of meerdere tanden/kiezen van de boventandboog bínnen de tanden/kiezen van de ondertandboog. Een kruisbeet kan achterin de mond bij de kiezen voor komen: een zgn. posterior kruisbeet of voorin de mond bij de tanden: een anterior kruisbeet. Vaak ontstaat het probleem als de bovenkaak te smal is ten opzichte van de onderkaak.
Een kruisbeet kan zorgen voor een ongelijke asymmetrische kaakgroei, overmatige gebitsslijtage en/of tandvleesrecessies (teruggetrokken tandvlees).



2. Open beet
Bij een open beet in het front, bij de voortanden, overlappen de voortanden elkaar niet als de kiezen op elkaar staan. Bij een open beet achterin, bij de kiezen, staan de voortanden wel op elkaar, maar komen de kiezen niet op elkaar.
Een open beet kan ontstaan door een speen of door gewoontes zoals duimen, een verkeerde tongpositie en mondademhaling.
Een open beet kan zorgen voor spraak- en slikproblemen.

3. Diepe beet
Als er wordt dichtgebeten overlappen de boventanden de ondertanden te veel.
Mogelijke gevolgen: de boventanden bijten in het tandvlees rond de ondertanden, de ondertanden bijten in het gehemelte en er kan overmatige slijtage aan de voortanden ontstaan.

4. Crowding
De tanden staan gedraaid en scheef over elkaar door ruimtegebrek. De tanden zijn hierbij te groot, de kaken te klein of het betreft een combinatie van beide.
Bij crowding is het lastig om de tanden goed schoon te houden waardoor er makkelijker gaatjes en tandvleesproblemen kunnen ontstaan. Ook kan er sneller aanslag en tandsteen blijven zitten. Verder is het esthetisch minder fraai.

5. Spacing
Er zitten spleetjes tussen de tanden. Dit kan doordat de tanden en kiezen (te) klein zijn, de kaken te groot of doordat er tanden of kiezen ontbreken. Of het betreft een combinatie van deze factoren.
Bij spacing kunnen etensresten tussen de tanden blijven zitten en mensen kunnen het als minder mooi ervaren.

6. Vergrote overjet (zgn. klasse II-occlusie)
De voortanden boven staan ver voor de voortanden onder. Dit wordt meestal veroorzaakt door een te ver naar achterliggende onderkaak, maar kan ook ontstaan als de boventanden te schuin naar voren zijn gegroeid of als de bovenkaak te ver naar voren ligt ten opzichte van de onderkaak.
Bij een vergrote overjet ontstaat ook vaak een diepe beet doordat de ondertanden uitgroeien richting het gehemelte.
Bij een vergrote overjet is het moeilijk om ontspannen de mond gesloten te houden wat tot mondademhaling leidt. Bij mondademhaling kunnen de tanden en het tandvlees uitdrogen wat meer kans op ontstoken tandvlees (gingivitis) en gaatjes (cariës) geeft. Ook kan door mondademhaling een lang smal gezicht ontstaan. Bij een eventuele val is de kans op schade aan de boventanden groter omdat ze vooruit steken en deze de klap sneller opvangen.
Een patiënt met een vergrote overjet wordt het liefst behandeld als deze nog in de groei zit.

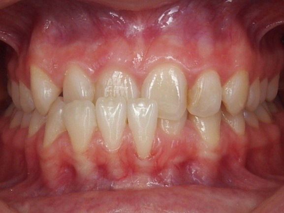
7. Omgekeerde frontbeet (zgn. klasse III-occlusie)
De onderkaak is voorbij de bovenkaak gegroeid. In de volksmond wordt dit ook wel eens een ‘centenbak’ genoemd.
De mogelijke gevolgen zijn: overmatige gebitsslijtage, lastig kauwen en kaakgewrichtsklachten.

Wat zijn TAD’s?
Een TAD (= Temporary Anchoring Device) is een titanium minischroefje van 6-10 mm lang en 0,6-1,2 mm breed, dat in het kaakbot wordt geschroefd. Het wordt gebruikt om een orthodontische behandeling te ondersteunen. TAD’s zien er uit als kleine schroefjes uit de bouwmarkt. In de mond zien ze er uit als een knopje van een oorbel of piercing dat op het tandvlees rust.


De plaatsing
Bij het inbrengen wordt het tandvlees plaatselijk verdoofd. Het bot kan geen pijn voelen dus de verdoving hoeft maar oppervlakkig te zijn. Plaatsing duurt slechts enkele minuten. Het schroefje moet grip vinden in het kaakbot. Soms is het bot zo zacht dat er onvoldoende grip is, waardoor het schroefje dan gedurende de behandeling kan loskomen. Indien nog nodig kan hij dan opnieuw geplaatst worden op een andere plek.
Wat is de functie?
Het gebruik van TAD’s geeft voor de behandelaar een hoop nieuwe mogelijkheden. Ze geven een vast ankerpunt waar vanaf tanden verplaatst kunnen worden in allerlei richtingen. Normaal worden specifieke tanden of groepen tanden als verankeringspunt gebruikt waarbij je uitgaat van Actie = Reactie: als je met een veer tussen twee tanden duwt gaat er eentje naar achteren en als bijwerking gaat de ander naar voren; duw je een groep tanden omhoog dan is de bijwerking dat andere tanden weer omlaag gaan.
Je kunt tanden die niet mogen bewegen, vastzetten door ze aan een TAD vast te binden en zo de bijwerkingen tegen gaan. Je kunt ook tanden verplaatsen door direct naar de TAD, die vastzit in het bot, te trekken zodat alleen díe tanden bewegen die moeten bewegen. Je kunt in richtingen duwen of trekken die normaal niet mogelijk waren óf alleen mogelijk waren door het gebruik van een buitenboordbeugel (zgn. headgear).
Wat zijn de voordelen van TAD’s?
- Je kunt tanden en kiezen bewegen in richtingen die voorheen onmogelijk waren.
- Je kunt efficiënter en sneller ruimtes sluiten.
- Het gebruik van een headgear (buitenboord beugel), waarbij je afhankelijk bent van de medewerking van de patiënt, kan soms vermeden worden.

Op bovenstaande afbeelding worden de hoektanden naar achter getrokken zonder de bijwerking dat de kiezen naar voren bewegen. Vaak wordt in zo’n situatie een headgear gebruikt om te voorkomen dat de kiezen naar voren komen.
- Ook kunnen met TAD’s uitgegroeide tanden worden geïntrudeerd (terug de kaak in geduwd).

Wat is een geïmpacteerde tand?
Een tand of kies is geïmpacteerd als deze om een of andere reden niet in staat is om zelf volledig door het tandvlees heen te breken. Dergelijke doorbraakstoornissen komen het meest voor bij de verstandskiezen, gevolgd door de bovenhoektanden en de tweede kleine kiezen(premolaren) in de onderkaak.
Impacties kunnen verschillende oorzaken hebben:
- Er kan te weinig ruimte zijn voor de tand of kies om door te breken.

De hoektand bij de rode pijlen zal moeten doorkomen op de plaats van de gele pijl, maar daar is simpelweg onvoldoende ruimte voor.
- De kiem kan op de verkeerde plek liggen of in de verkeerde richting groeien.

Deze kleine kies/premolaar hoort bij de rode pijl door te komen maar is in het begin van zijn ontwikkeling de weg kwijt geraakt en groeit nu horizontaal naar achter.

Deze hoektanden groeien te horizontaal en zullen niet vanzelf op de plek komen waar ze eigenlijk horen door te komen. Daarnaast is daar te weinig ruimte.
- Er kunnen obstakels in het eruptiepad (= de weg die een tand of kies normaal gesproken moet vinden om door te breken) liggen zoals extra tanden of cystes.

Een cyste blokkeert het pad van deze verstandskies.
- Er kan een stoornis zijn in het doorbraakmechanisme. De tanden krijgen wel langere wortels, maar zijn niet in staat om omhoog gestuwd te worden.
Wat zijn de behandelopties?
- Ruimte maken m.b.v. orthodontie en/of extractie(= trekken) van het melkelement dat er boven ligt.
- Verwijdering van de extra tand of cyste die in de weg zit.
- De tand kan worden vrijgelegd door de kaakchirurg. Deze maakt dan een luikje in het tandvlees en haalt het bot weg dat boven de nog door te breken tand of kies ligt. De tand of kies kan dan door het tunneltje dat gemaakt is spontaan verder groeien. Vaak wordt er echter tijdens het vrijleggen gelijk een oogje op de tand of kies geplakt met een gouden kettinkje eraan. Het kettinkje dat uit het tandvlees steekt kan vervolgens i.c.m. een beugel gebruikt worden om de tand of kies naar de juiste positie te geleiden.

- Verwijdering van het geïmpacteerde element: Geïmpacteerde verstandskiezen worden als ze klachten geven verwijderd. Soms ligt een geïmpacteerde tand in zo’n ongunstige positie, dat het niet mogelijk is om deze m.b.v. een goudkettinkje naar de juiste positie te geleiden zonder dat er wortels van naastgelegen tanden beschadigd raken. In dat geval is het beter om de tand te verwijderen.
Wat kan ik doen als mijn kind blijvende tanden of kiezen mist?

Bij deze patiënt ontbreekt een premolaar. Bij de nog aanwezige melkkies zijn de wortels al voor een groot deel opgelost. Het trekken van de melkkies en het orthodontisch sluiten van het ontstane gat heeft als voordeel dat er later geen implantaat nodig is. Het nadeel is dat het sluiten van een gat van 10mm breed een lang beugeltraject vergt.
Kinderen wisselen hun laatste tand gemiddeld rond 11e-12e levensjaar. Als een melktand wisselt breekt meestal vrij kort daarna de volwassen tand door. Soms gaat een melktand niet los zitten of valt hij er uit en komt er geen opvolger naar boven. Dit kan veroorzaakt worden door ruimtegebrek, doordat de opvolger in de verkeerde richting groeit of doordat de opvolger simpel weg ontbreekt. De beste manier om de oorzaak vast te stellen is om een overzichtsröntgenfoto (OPT) te nemen.
Er zijn 3 opties als een blijvende tand/kies ontbreekt: 1) de melktand/kies laten zitten, 2) de ontbrekende tand vervangen door een brug of implantaat, 3) het gat met een beugel sluiten. Wat de beste oplossing is hangt af van een aantal variabelen: wat de conditie is van de melktand/kies, hoeveel ruimte gebrek er is, wat de conditie is van de overige tanden en kiezen en hoe de beet is.
Soms is het beter om de melktand te laten zitten. Als de beet goed is, de tanden recht staan en de melktand/kies geen gaatjes heeft en mooie lange wortel dan kan zo’n melktand/kies nog heel lang mee gaan. De melktand kan dan vervangen worden door een implantaat of een brug als deze rond 40-50 jarige leeftijd verloren gaat . Met een goede beet en rechte tanden is er geen, of maar heel kort een beugel nodig. Als je een melktand verwijdert en het overgebleven gat sluit met een beugel wordt de behandeling veel langer.
Als er ernstig ruimtegebrek is en/of problemen zijn met de beet waarbij toch uitgebreid gebeugeld dient te worden, dan is het een goede optie om de melkkies/tand te verwijderen en het gat orthodontisch te sluiten. Het sluiten van de ontstane ruimte heeft als voordeel dat er later geen kostbaar implantaat/brug nodig is. Vaak komt er ook voldoende ruimte vrij voor de verstandskies. Deze kan later normaal doorbreken en hoeft dan niet verwijderd te worden. Voor de kies die je eerst verliest krijg je er dan rond je 18e jaar een terug.
Welke oplossing het beste is, is dus afhankelijk van verschillende factoren. Een behandelplan wordt opgesteld nadat een op de orthodontie afdeling een uitgebreid onderzoek gedaan is. Nadat alle gegevens verzameld zijn kan er een goede afweging gemaakt worden. De verschillende behandelopties en de voor- en nadelen daarvan worden daarna met ouder en kind doorgenomen.
Waarom zou ik gezonde kiezen laten trekken voor mijn beugelbehandeling?

Een reden waarom sommige patiënten afzien van een orthodontische behandeling is omdat er gezonde kiezen verwijderd “moeten” worden. Is het verkeerd om kiezen te trekken terwijl er niks mis is met deze kiezen? Zijn er alternatieven voor?
Het besluit om kiezen te trekken is afhankelijk van veel factoren.
Het komt niet vaak voor, maar soms is het beter om tanden of kiezen te trekken voor het beste resultaat
De meest voorkomende redenen om kiezen te trekken zijn: ernstig ruimtegebrek (crowding), protrusie (de voortanden staan schuin naar voren), een vergrote overjet en asymmetrieën. Theoretisch gezien is het in al deze gevallen mogelijk om te beugelen zonder kiezen te verwijderen. Maar bij de beslissing moeten verschillende factoren in overweging worden genomen: het profiel van de patiënt, de conditie en de dikte van het kaakbot en het overliggende tandvlees, de chief complaint van de patiënt (wat vindt de patiënt niet mooi aan zijn gebit en welk eindresultaat verwacht hij?), efficiëntie van de behandeling, verwachte duur/kosten van de behandeling met en zonder verwijdering van de kiezen.
Soms moet je iets goeds opofferen om het beste te krijgen.
Drie voorbeelden waarbij het opofferen van gezonde kiezen uiteindelijk tot een beter eindresultaat leidt:
- Ernstig ruimtegebrek (crowding)
Bij ernstig ruimtegebrek is er voor het oplijnen van de tanden meer ruimte nodig dan er in de tandbogen aanwezig is. Wil je de tanden mooi op een rij zetten dan moeten of tandbogen vergroot worden of het aantal tanden verkleind worden. De hoeveelheid kaakbot en de dikte van het tandvlees bepalen uiteindelijk de grens van het vergroten van de tandbogen. Als de tanden te ver naar buiten moeten voor een grotere boog, dan kunnen de wortels buiten het kaakbot terecht komen. Bij patiënten met wat dunner tandvlees kan dit later recessies tot gevolg hebben.


- Protrusie
De positie van de lippen wordt bepaald door onderliggende tanden. Voor patiënten met protrusie is lastig om de lippen in rust op elkaar te houden en de mond staat daardoor vaak open. Voortanden die te schuin naar voren staan dragen niet bij aan een mooie lachlijn en worden door over het algemeen als minder fraai ervaren. Voortanden die te ver naar voren steken kunnen door het trekken van premolaren steiler gezet worden en wanneer nodig ook nog naar achteren. Dit maakt een goede lipsluiting, lippositie en mooiere lach mogelijk.
Heb je een goede lippositie en lipsluiting maar wel veel ruimte gebrek dan wil de goede lippositie behouden. Als je bij ernstig ruimtegebrek de tanden gaat oplijnen zonder kiezen te trekken, moeten alle tanden en kiezen schuin naar voren en naar buiten bewegen om toch op een rij te kunnen staan. Je creëert dan protrusie. Om dit te voorkomen is het in dat geval dan ook beter om premolaren te verwijderen.

Voortanden die te schuin naar voren wijzen worden als minder fraai ervaren.


De linker patiënt heeft moeite om de lippen gesloten te houden. Dit is te zien aan de aangespannen spieren rond de kin. Op de rechter foto’s is een gesimuleerd verschil te zien tussen protrusie en een normaal profiel.
- Het verwijderen van tanden of kiezen kan helpen om verkeerde beet op te lossen.
De derde reden om tanden of kiezen de verwijderen is de correctie een overjet of een omgekeerde overjet (centenbak). Bij uitgegroeide patiënten waarbij de boven- en onderkaak veel verschillen in grootte, is kaakchirurgie vaak de meest ideale oplossing. Er is echter een groep patiënten waarbij het verschil in kaakgrootte klein genoeg is om het probleem te corrigeren d.m.v. camouflage therapie. Bij camouflagetherapie corrigeer je de beet door de voortanden naar achter te bewegen na het trekken van premolaren zonder al te veel negatieve gevolgen voor het profiel van de patiënt. Een patiënt die in de laatste categorie valt staat vaak open voor het idee om premolaren te laten trekken om kaakchirurgie te voorkomen.
Om af te sluiten wil ik benadrukken dat de beslissing om tanden of kiezen te trekken altijd een zeer wel overwogen beslissing is, waarbij geldt: “When in doubt, don’t take them out.”. We identificeren alle bestaande problemen, evalueren elke mogelijke behandeloptie en stellen vervolgens het meest ideale individuele plan op voor elke patiënt.
Tegenwoordig hebben we de mogelijkheid om op voorhand op de digitale gebitsmodellen van de patiënt een simulatie uit te voeren. Je kunt precies zien wat gebeurt met het gebit als je de tanden recht zet met en zonder het trekken van tanden of kiezen.
